ラガマフィン 1歳 去勢♂
2日くらい前に30㎝位のひも状異物を食べてしまった
その後嘔吐が計4回
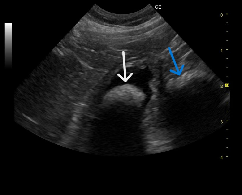
来院時のレントゲン検査ではひも状異物に特有なつづれ陰影などは認められませんでしたが、超音波検査で胃の出口にシャドーを引く丸い異物陰影と十二指腸へ続く線状の異物陰影を認めました。




幸いなことに、この時点で超音波検査でも腸の綴れはありませんでしたが、飼い主様には内視鏡で腸に流れた紐を摘出できなければ開腹手術になることをお伝えしてお預かりしました。


胃の中を内視鏡で見てみると、胃の出口に丸い異物がありました!
問診では丸い異物の情報はなかったのでひも状異物がクシャっと丸まっているのかなと想像していましたが、エコー検査で見た通りのしっかりと丸い異物が見つかりました。
おそらく丸い異物から紐が出ていて腸のほうに伸びているので丸い異物をつかんで慎重に引っ張てみます。
が、引っ張っても腸に流れた紐がびくともせず、あまり無理をするとひもの剪断力で腸が傷ついてしまう可能性があるため、開腹手術に切り替えました。






開腹するとひも状異物は聞いていたよりも長く50㎝ほどありました。
そのため、球体の異物とそれに続く10㎝ほどの紐を胃切開で、その後残りの約40㎝の紐を2か所の腸切開で摘出しました。
今回はひも状異物を誤食したことが分かっていて症状がひどくなる前に来院されたため、腸の綴れや紐の剪断力による腸壁の損傷などがほとんどない状況で手術ができたため、より安全な手術ができ、術後の回復も早かったです。
しかし、誤食を飼い主様が認識しておらず、症状がひどくなってから来院された場合、ひも状異物は非常に怖い病気です。
猫が頻繁に嘔吐するなどの症状があればまず動物病院を受診し、獣医師にご相談ください。













